The Bioclear Restoration Method
Bioclear is a conservative alternative to rejuvenate your smile while preserving as much of your natural tooth structure as possible.
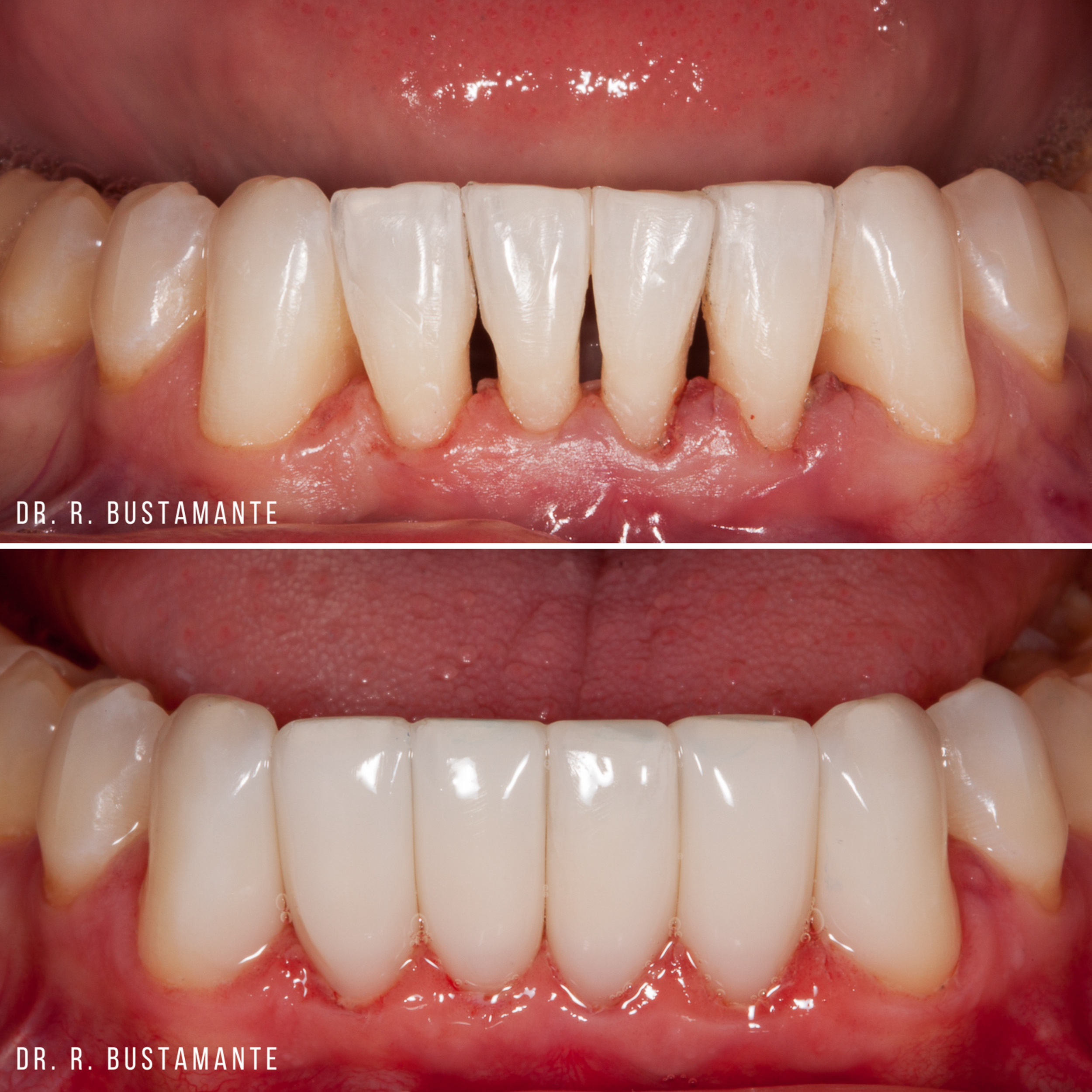
Bioclear offers a transformative solution for enhancing your smile. Whether you’re looking to close small gaps between your teeth (commonly known as black triangles), address uneven, chipped, or broken teeth, or refresh worn, discolored, or decayed teeth, Bioclear delivers natural, stunning results tailored just for you.
The images displayed here showcase actual cases completed by Dr. Bustamante, reflecting the artistry and precision of this technique. Please note that while Bioclear is ideal for many, a personalized consultation will determine the best treatment to achieve your perfect smile. Experience the confidence of a beautifully restored smile with Bioclear.












Bioclear
The Bioclear Method can rejuvenate the shape, size, and fit of your teeth. Bioclear is a minimally invasive, conservative alternative to rejuvenating worn out, broken, discoloured, and chipped teeth.
The following dental issues can be treated with Bioclear:
Black triangles after completing braces.
Diastema Closure.
Peg Laterals (little teeth).
Repairing damaged or worn teeth.
Replacing failing white and silver fillings.
Repairing a chipped or discolored tooth with Bioclear Veneers.
To find out if Bioclear is the right solution to your aesthetic concerns, we invite you to book a consultation with us.
Dr. Bustamante is on Faculty Track at the Bioclear Learning Centre in Tacoma, WA where he has taught both in person and virtually the Bioclear Method to other dental professionals. He is also collaborating with Clinical Research Dental and 3M teaching the Bioclear method to dentists across Canada.
This is the highest certification level in the Bioclear Method. It is a certificate of achievement, rather than dental specialization.
Bioclear Certified Master Track providers have completed all of the certification levels. In addition, they have completed various treatments on their own patients and have submitted the required x-rays, photos, and write-ups for evaluation before Mastership Status is awarded by the faculty of the Bioclear Learning Center. Dr. Bustamante is one of the few dentists in the world to have achieved this level of training. He is also Full Faculty at the Bioclear learning Center in Tacoma, WA.