Invisalign aligners, faster than braces and more comfortable, available in downtown Edmonton.

At Signature Dental, we offer Invisalign treatment to our patients. It consists of wearing a sequence of clear aligners that progressively place teeth in the proper position to both straighten them and correct your bite. No brackets or wires are needed. The aligners are virtually invisible and can be removed to eat and drink, brush and floss, or for special occasions.

The Process

  • Invisalign treatment begins with a consultation. During this consultation, we will use a digital scanner to record a video of your teeth that will be used to map out a treatment plan for you to get a sneak peek at your new smile.

  • Once you approve the final look of your smile, your trays are made and we arrange for a fitting to start the transformation. Each set of aligners will gently and gradually shift your teeth into place until you reach your beautiful new smile. Treatment could be completed in as little as six months.

  • At the end of treatment, you will receive a set of Vivera retainers to keep your brand-new smile beautiful.

Faster. Comfortable. Predictable. That’s the Invisalign choice.

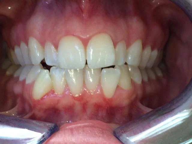
Close-up of a person's open mouth showing misaligned teeth, with some gaps and crowding.
Close-up of a person's open mouth showing their teeth and gums, with a dental mirror reflection.